Here we go again! Are we crazy? Maybe. But THIS is what life is all about!
“The greatest gift you can give your children is another sibling”
We planned this, yes. I honestly didn’t think it would happen so fast. Heck…one month if you want to really know. Really, we agreed upon “not preventing it” in February 2019 but his schedule never really worked out with mine, if you know what I mean. But he came home for three weeks one trip and well…BAM! It happened. Just.like.that.
I walked out of our bedroom and ever so calmly said: “Bobby, can you come here?” It was a Saturday morning and he was cooking pancakes for the girls. I felt off. I wasn’t testing like a crazy person like I always have in the past. I just felt off, so I tested. The days leading up to it were crazy. Hormones were insane and I was no where near my period. So strange. I craved all sorts of my typical pregnancy cravings: Coke Zero, olives, Fritos and bean dip, ranch dressing, chicken tenders, peanut butter, caramel…
When I came home from the grocery store a few days prior, my mother-in-law looked at me like I was nuts when I was unloading all the groceries. I was edgy. So I finally looked at her and said “what?” and she said: “this isn’t like you. Pop?” (she’s from Michigan ya’ll…they call soda, pop). I responded quickly by defending myself. “I was craving it…I couldn’t pass it up.” Then she started to look at all the other crap (literally) that I started taking out of bags and laughed. I was embarrassed, truthfully. Especially when she said I have a fridge full of healthy food constantly and I bring home this? Haha! I still, at that point, didn’t put two and two together.
REWIND: Bobby had just found out that he got a job offer onshore, I got an amazing raise, things were going so good in our marriage, my mother-in-law was here for 6 weeks for the summer and it was so so so good for the girls! Things were going SO good. Josie was just about to start Kindergarten and Juliette was about to start PreK 2’s (one week after her). Things were happening…life was happening! It was all so good. I couldn’t praise our God enough for blessing us so immensely. I mean, really. It was seriously so much that I felt overwhelmed with grace and gratitude. I had to finally ask him to slow it down. Please. Let me take it all in. Ever since we took this walk with the Lord more than a year ago, our lives have been transformed! And that is seriously a very small word to express the impact it’s had on our family…each and every one of us differently. The kids say their own sweet little prayer at the dinner table without even asking. They talk about God and all he’s made. They ask questions (that I don’t even have the answer to) and are so innocent to the sweetness of Jesus. We have felt, witnessed and experienced life changing, personal, deep changes that I honestly cannot even express because you won’t get it. It’s so personal and so deep. For once in my life, I’m holding no shame about who I am and my personal walk with Christ. I am proud and I no longer work Sundays because that’s my day to spend it with family and Jesus. I LOVE our church. It is our home. It is our safe place. For 8 months straight I was there 5 days a week. Between classes, studies, groups, workout classes and church on Sundays it has been incredible. We have the most amazing support system there. We have the BEST pastor that has become a friend. We feel transformed. And best of all, our girls LOVE it and beg for church and Sunday school. It’s truly the best ya’ll.
So Josie started Kindergarten at this AMAZING award winning school, that again, I just feel so blessed to have her be a student at, and it was emotional ya’ll. This sweet extroverted girl got right out, walked right into class, found her name, her seat and exploded with joy. The smile was heart shattering. She’s brilliant ya’ll. So so so smart. She loves school. She leaves in the morning super excited to go and comes home with a million stories, talking a million miles an hour. She cannot wait to sit down and tell me all the words she’s read and the crafts she’s brought home. And all the good and kind things she did throughout the day that gained her “Bee Bucks” to get treasures out of the treasure chest. She is a special little girl and we’re so blessed to be her parents.
Anyway, with school comes germs. And my kids are like fly traps for all things illness. No really…they are. Josie was sick the second day. THE SECOND DAY! But it was just a cough. Juliette was sick the second day as well. But high fevers, throwing up and fatigue (oh! the joy!). I knew right away what it was…strep. I took her to urgent care Labor Day weekend and sure enough…positive for strep. Josie on the other hand…her immune system has PreK to thank for the delay. She may have been brewing it, but it wasn’t until the next day that she was down for the count. I took her into urgent care and she also was positive for strep and also positive for croup. So bring out the nebulizer ya’ll. Just go ahead and place that sucker on the counter for the year because I’m sure we’ll get use of out it. It’s been a few months and they are finally getting over all that crud! Ya’ll…kiddos germs are no joke!
Anyway…my point…is when Juliette started feeling “off” I checked her temp and the temporal thermometer was being crazy. That thing always irritates me so I checked myself. I kept coming back as 99.9 and 100 degrees. But I felt perfectly fine. I was fine! So then my mother-in-law began to tell me her story about how she discovered she was pregnant with Bobby. Her temperature was increased. I blew it off like it was nothing. As well as the ridiculous food cravings and massive yelling and screaming and raging hormones. Nope…this was just me ya’ll…a crazy person just trying to adjust to all lifes newest changes…
so I thought….
Nope.
So I came out of the bedroom calmly (oh my husband knows this tone) and asked him to come here. As he’s walking to the doorway (sorta a long walk) I just started shaking and bawling and went limp. He laughed. He laughed, ya’ll! This man has been begging me for another child. Sending me photos of his co-workers and their three kids…I ask the question “are you sure you want to try to have another” the past few months and he just says “is that a trick question?” Then I quickly discovered if he absolutely did not want one, he’d say so. So I told him that I get it. If he didn’t want one, he’d say so. So he laughed (past conversation a few months prior)…
…so he held me as I cried. “Let me see this”, he said. I took him to the bathroom where the test was (a barely visible positive) and he said “no kidding!” We were actually able to go off the date of conception because it was that accurate! While he was laughing, I’m saying “God please, Lord help me, God please, Lord help me.” He pulled me close, hugged me and said: “babe…this is supposed to be a really exciting moment.” I told him his pancakes were burning and he should go attend to them. I stood there looking at my aging self in the mirror wondering who I should tell first. Maybe my mother-in-law…to explain my random, irrational behavior? Maybe my friends on my favorite speed dial list? Maybe no one? My history haunts me. 7 pregnancies now and only two that are living. What do I do?
Well, I cried. A lot. I took a shower and just kept talking to Jesus. “Oh Jesus…you wouldn’t do this unless you knew I could handle it. Oh Jesus. Oh Jesus. Oh Jesus.”
I get up early each morning and spend some time with the Lord. Word before World. I’m alone. Just me, my coffee and silence. I usually journal, truthfully. That morning before I took a test, this was the message I received. I had just started a new journal:
I really wanted to tell everyone. But I had to calm myself and at least wait until the first ultrasound. Which felt like for.ev.er! I got sick quick. And super sick. Totally different then the others…could be age, gender…whatever. They’re all different, right? August 19th I tested positive. Date of conception was August 8th. I test positive CRAZY early. I always have!
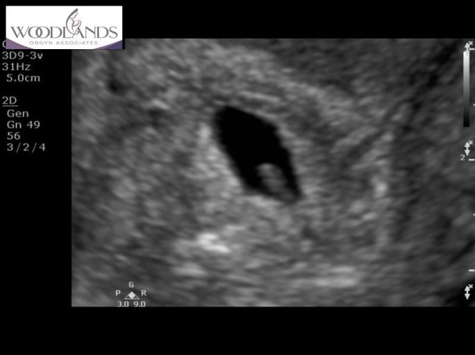
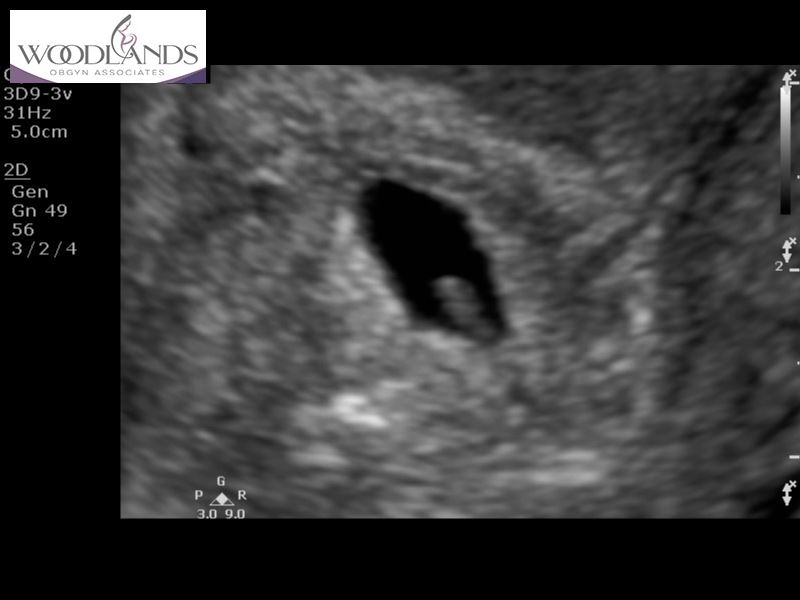
oh.my.gosh. There it was. A little bean. HR and all. Coming in at 114bpm. Amazing to have a heart beat that soon. I was only registered 5w,4d. They kept thinking 7 weeks but I insisted that the date of conception does not go on that projected date and they finally listened. We see this little RAINBOW again on Monday, September 23rd. Stay tuned. I’m praying it’s still there. Still beating will all of Gods amazing force and glory. And…didn’t multiply. Haha!!!
What will we have? What will our RAINBOW baby be? We’ve already had one Rainbow who has brought us so much joy in our lives we cannot possibly imagine life without her. She was our 4th after 3 miscarriages.
We had a horrible, awful, devastating miscarriage during Hurricane Harvey a few years ago. It’s something we’ll never forget. And any type of hurricane weather brings back all those memories of loss and pain. So this child…this child of God…is our Rainbow after the storm…literally. What will it be? A boy? A girl?
How far along? 7 weeks.
Weight gain: None yet (110lbs.)
Gender: This feels so different, I’m really thinking BOY.
Sleep: I’m hot, uncomfortable, nauseous and my boobs hurt (sorry, TMI)
Food cravings: In the beginning: Fritos and bean dip (barf). Chocolate and peanut butter together (ice cream), caramel syrup, Ranch dressing, cheese balls with butter and parmesan cheese, Sprite, Coke Zero, tons and tons and tons of green olives.
Food aversions: Coffee!
Symptoms: Lots of bloating-mostly at night with gas, burping and discomfort. Starting to get acne all over and big cystic ones on my face…ugh!! I expected this. My stomach constantly hurts whether I’m hungry or full. It’s a mix between nausea and hurting. So much gagging when I brush my teeth. Feeling depressed (could be related to my history of PPD), so so so tired! I need naps by 1-2pm! But life with kids, it doesn’t work out that way. I’m getting “wider” I can tell by my shorts. I cannot slide them off anymore, I have to unbutton them. Dizziness. SOB…geez I can’t even read a book to the kids! Sore boobs!! I had that with Josie but not with Juliette.
Mood: Anxious for the next ultrasound and to feel better and this nausea to be OVER!
What I miss: Enjoying coffee and endless energy!









Ohmygosh yay! that’s exciting news 🙂
So happy for all your blessings !! just know GOD IS WITH YOU, and YOU WILL BE OK. he will make everything ok. By the way there is a great supplement for pregnant women. Its called immunocal. They have it on amazon too. It will help you have one of the best healthiest pregnancies ever. check it out!
Ohmygosh! I cant believe theres another bean on the way! yay! its crazy how I’ve been following your blog for all these years now (youre literally the ONLY blog I look forward to reading!) Im so happy for you and all your recent blessings!! look, YOU WILL BE OK. God is with you. He will make everything ok. By the way, if you would like a super healthy pregnancy there is a supplement called immunocal. check it out. Best thing out there for expecting mothers! you can even find it on amazon 😉
I’m so excited for you! Your words made me cry and I imagine how you felt when you opened your journal to see such encouraging words from our Heavenly Father. Your girls are so beautiful – as are you! Sending love and encouragement from the East Coast. Can’t wait to hear about the next ultrasound.