How far along? 30 weeks.
Size of baby: The size of a head of large cabbage.
Weight: 138lbs.
Stretch marks: Not yet.
Gender: GIRL!
Nursery: Still waiting for a while to complete this.
Maternity clothes: Nothing new.
Sleep: All the same as last week. I am still super tired and I can definitely tell that my hormones are different. Because I am having sweat spells at night. And I’m super moody and my patience is slim.
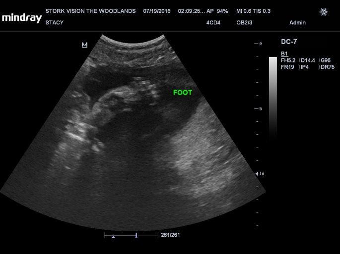
Best moment the week: Seeing Juliette on the 3D/4D ultrasound. So amazing!
Food cravings: Nothing particular.
Food aversions: Anything I ate in the beginning of the pregnancy.
Symptoms: Super moody, no patience, acne is coming back, restless, feet have a little bit of swelling, tired all the time and feeling like I’m having a hard time breathing. Juliette started to hiccup (or at least I started to feel it) this week! She usually does it every night when I first lay down to sleep. I have horrible pregnancy insomnia. I’m also peeing a lot too in the middle of the night again.
Mood: Tired.
Movement: Big kicks all the time.
What I’m looking forward to: My husband coming home next week.
What I miss: Energy and sleeping on my back.












